Mahsa Amini’s CT Scan Shows Skull Fractures Caused By Severe Blows

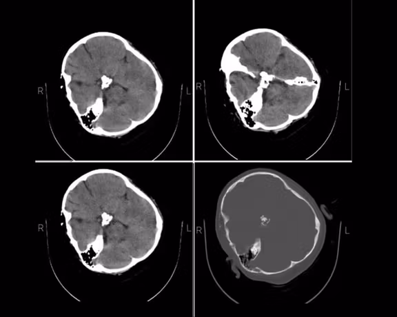
The skull CT scan of Mahsa Amini, the Iranian woman who died in religious police custody, shows bone fracture, hemorrhage and brain edema, Iran International has learned.

The skull CT scan of Mahsa Amini, the Iranian woman who died in religious police custody, shows bone fracture, hemorrhage and brain edema, Iran International has learned.
The medical documents and dozens of exclusive images sent to Iran International by a hacktivist group vividly show a skull fracture on the right side of her head caused by a severe trauma to the skull, which corroborate earlier accounts by her family and doctors about her being hit several times on the head, proving that the Iranian police's claim that she suffered a heart attack was untrue.
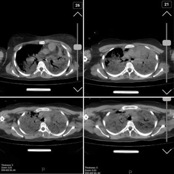
Images of her chest show bilateral diffuse alveolar hemorrhage and damage due to aspiration pneumonia, secretion retention and superimposed infection. Doctors say the results are compatible with acute respiratory distress syndrome due to brain trauma.

The 22-year-old woman’s death in custody by the hijab police has led to indignation among Iranians and several anti-regime protests in different cities.
A source from the hospital where she died told Iran International on Saturday that her brain tissue was crushed after "multiple blows" to the head, adding that Amini was taken to Kasra Hospital in capital Tehran while she was not responsive and brain dead.
The source added that her lungs were filled with blood when she was transferred to the hospital and it was clear that she “could not be revived."
This source emphasized that Mahsa's condition "was such that she could not be saved nor was surgery possible because her brain tissue was seriously damaged and it was clear that the patient was not injured by a single punch and must have received many blows to her head."

Iran’s President Ebrahim Raisi did not deny his role in the killing of thousands of political prisoners in 1988, in an interview with CBS’s 60 Minutes program.
Asked by Leslie Stahl if he regrets his role in a death commission that executed up to 5,000 political prisoners, Raisi simply answered that they were “terrorists.”
“They were assassinating people and what happened to them was exactly proportionate to what they did,” the Iranian president said.
Most of the prisoners were young members of the Mojahedin Khalq (MEK) group that participated in the 1979 revolution and supported the establishment of the Islamic Republic but soon began opposing the clerics who took full control of the new government.
The organization did engage in acts of terror against officials, but the prisoners who were summarily executed had already received prison sentences and were serving their jail terms.
The United States has sanctioned Raisi and other members of the governing elite for human rights violations, but the Biden Administration decided to issue a visa to the Raisi to go the New York for the United Nations General Assembly starting this week.
American Iranians are preparing for a protest outside the UN headquarters in New York on Wednesday when Raisi is scheduled to speak. This is his first visit to a Western country as president and first UN appearance. He said in the interview that he will not meet or speak with President Joe Biden. “I don’t think to meet with him or have a discussion would be beneficial.”

A new wave of disillusionment over the legitimacy of the Iranian regime has been emerging since the death in custody of a young woman, Mahsa Amini, on Friday.
The 22-year-old from Western Iran was visiting Tehran with her brother when she was stopped by a religious police patrol controlling hijab on September 13. She was taken into a van and then to a police station. Two hours later police delivered her to a hospital in coma with fatal head injuries. Her brain tissue was damaged beyond any hope, and she died three days later.
In an interview with BBC Persian on Saturday, Hatam Ghaderi an academic who was once trusted by the founder of the Islamic Republic Ruhollah Khomeini to vet the candidates for the first presidential election in Iran in 1979, has delivered a damning verdict: "By its nature, the Islamic Republic is destructive. It destroys the religion, the country and its women and youths."
Ghaderi warned in the interview that if the Islamic Republic survives, it will leave no Iran and no religion. Ghaderi emphasized that "the Islamic Republic views women's body as a battleground."
Referring to the regime’s religious propaganda, the former revolutionary compared government injustice in Iran to what Shiites believe happened to their venerable saint, Imam Hussain, who was killed by the reigning Muslim caliph in 680. That amounts perhaps to the harshest criticism anyone can throw at the clerical regime which desperately tries to cling to religious legitimacy.

Many observers have pointed out that this extent of openness in Ghaderi's anti-regime rhetoric is unprecedented. Nonetheless, Ghaderi, as an original believer in the Islamic Republic, has been highlighting the system's shortcomings for many years. He characteristically explains complicated concepts in plain Persian equally understandable by the man in the street. He says: "We should not look at Khamenei's powers. Instead, we should see how happy Iranians are and how well-fed they are."
Ghaderi at the end of his interview warned Iranians that that after 115 years since the Constitutional Revolution, Iranians have still not managed to harness their leaders' political power. He attributed part of that failure to the "religious ignorance among part of the population." However, he said that the Islamic Republic is moving toward a collapse.

Masih Mohajeri, another orthodox believer in Iran's Islamic Revolution, wrote in an editorial in the Jomhouri Eslami newspaper on Sunday that Mahsa Amini's death and the deliberate ambiguity surrounding it "have harmed the people's trust" in the government. He pointed out that Iranians "no longer believe what the officials of the Islamic government say. This is a big loss."
Like many supporters of the regime, Mohajeri also tried to portray the incident as wrongdoing by some policemen, rather than a systemic problem. Comments like this prompt many activists to say that the people no longer wish to reform the Islamic Republic. They want an end to it as it is hopelessly unreformable.
Mohajeri believes that the Islamic principle of "prohibiting vice and upholding virtues" is necessary, but it needs to be done differently. This is in sharp contradiction to the belief of many Iranian women who reject compulsory hijab and demand freedom of choice in lifestyle.
In another development, the daughter of late Ayatollah Mahmoud Taleghani a respected cleric who died under suspicious circumstances in the early years of the Islamic Republic, and an advocate of freedom of choice for women, has said in a tweet that if her father was alive today, he would have thrown his turban on the ground in protest to the Islamic Republic's oppression against women.
Several Twitter users reminded Taleghani that she could still object to the Islamic Republic's heavy-handed treatment of women by throwing her black head-to-toe veil on the ground.

Thousands took to the streets in several Iranian cities Sunday to protest the death of a young woman in religious police custody that has shaken the country.
In Sanandaj, capital of Iran's Kordestan (Kurdistan) Province, and Saqqez, a city of around 170,000 in the same province, thousands took to the streets for a second night. Protesters in Sanandaj chanted “Kordestan, Graveyard of Fascists” and “Down with the Dictator”, in Kurdish and Persian.
The 22-year-old Mahsa Amini, known as Zhina to family, originally from Saqqez, collapsed at a detention center two hours after her arrest by a hijab police patrol in Tehran. She passed away Friday afternoon at Kasra Hospital in northern Tehran. Hospital staff told Iran International that she was brought in near death in a coma with what appeared to have been multiple blows to her head.
According to some reports nearly 40 protesters in Saqqez Saturday evening were wounded by security forces who used shotguns and tear gas against protesters with at least two young men in critical condition.
On Sunday, Police used tear gas and water canons to disperse protesters in Sanandaj and fired with shotguns at protesters again, reportedly wounding at least ten people, and arrested over a dozen.
People also took to the streets in Gohardasht district of Karaj, capital of Alvand Province only half an hour from the capital Tehran and in Mahabad, a city of around 170,000 in West Azarbaijan Province, with a majority Kurdish population.
According to Hengaw Human Rights Organization, a Kurdish rights group, security forces shot at protesters in Sanandaj, wounding at least nine people including two women.
In the capital Tehran, dozens of students marched inside the campus of Tehran University Sunday and chanted “Iran Is Bleeding, from Kordestan to Tehran”. Some students carried placards with “Women, Life, Freedom” and. “I Don’t Want to Die” written on them.
Many female protesters have been removing their headscarves in defiance of compulsory hijab and some women have posted photos and videos on social media showing them cutting their own hairor burning their headscarves.
President Ebrahim Raisi on Sunday made a phone call to the family of Mahsa Amini and told them he considered their daughter and “all Iranian girls” as his own children and had ordered a thorough investigation of the incident.
Authorities have so far denied any wrongdoing and not taken any responsibility for the young woman’s death. Police say she died in custody from a “heart attack” but have had very little success in convincing millions of Iranians who know violence against women arrested for hijab is quite common.
Mahsa’s father has told the media that other women arrested at the same time as his daughter say she was beaten but do not dare to come forward.
Kurdish activists and political groups have urged people in Kurdish regions of western Iran to shut their shops on Monday in protest to the violence against women. According to Hengaw, security forces have threatened most businesses in the large western city of Kermanshah, not to join the strike called in the neighboring Kordestan Province.
Various rights and political groups have issued statements over the incident which many consider “state violence”.
“The murder of our daughter, Mahsa, is a manifestation of the gradual killing levied on all of us on a daily basis and at a societal level,” a group of workers of Haft Tappeh Sugarcane Complex in southwestern Iran which has one of the most organized and active labor rights groups in the country, said in a statement on their Telegram channel. “The state’s murder of Mahsa won’t remain without res

Israeli Prime Minister Yair Lapid has emphasized the country’s right to attack Iran regardless of the US decisions and policies about the Islamic Republic.
According to Iran International’s correspondent, Lapid reiterated during the weekly cabinet meeting on Sunday that the US and Israel do not “necessarily agree on the need for a credible military threat against Iran at the present time.”
“We came and asked to introduce a credible military threat during President Biden’s [July] visit,” Lapid said, adding that “We want the basis [for world power’s negotiations with Iran] to be a credible military threat. We didn’t necessarily agree on this with the Americans.”
He noted that he “made it clear to the president and his team that Israel opposes the nuclear deal and maintains complete freedom to act, diplomatically and operationally, in the face of the Iranian nuclear program.”
Israel has recently announced that it will try until the very last moment to make the United States reject the nuclear deal.
Lapid had earlier said that Israel is leading “an intensive campaign” meant to prevent the signing of “a dangerous” nuclear deal between Iran and world powers but not to the point of rupture.
Earlier in the month, Mossad chief David Barnea said he shared "sensitive intelligence materials" with heads of CIA, FBI, Pentagon and other top officials to warn US against being cheated by the Islamic Republic’s lies.

Iran's President Ebrahim Raisi on Sunday had a phone conversation with the family of Mahsa Amini who died in the custody of the Islamic Republic's "morality" police.
"Your daughter and all Iranian girls are my own children, and my feeling about this incident is like losing one of my own dear ones," Raisi’s office quoted him as telling the Aminis, promising them to carefully deal with the "incident".
“I was informed of this incident when I was on a trip to Uzbekistan [to attend the latest Shanghai Cooperation Organization summit]. I immediately ordered my [administration] to investigate this as a special case,” he said, adding that “Rest assured will demand the relevant state bodies to follow up on this case until all its aspects come into light.”
The 22-year-old Mahsa Amini who was arrested on Tuesday by the morality police and was taken to hospital two hours later after losing consciousness. She passed away Friday afternoon at Kasra Hospital in Tehran from severe damage to her brain.
Hospital staff told Iran International that Amini received repeated blows to her head and was near death when she was brought in.
Numerous condemnations and protests are still following Amini’s death, with many state officials calling for the elimination of the hijab enforcement patrols.
Masoumeh Ebtekar, former President Hassan Rouhani's vice president for women and family affairs, said on Sunday that the previous administration tried to cancel the patrols, but hardliners in the country did not allow it.






